Resources
Now indicated for musculoskeletal (MSK) procedures, find out how Epione offers a new approach for bone ablation and consolidation.
French TV follows up with a patient treated with Epione at Gustave Roussy center, in Villejuif, France.
Watch how Epione® helps standardize ablation procedures from planning to confirmation.
Presented at ECIO 2024 by Pr. Thierry De Baère, Pr. Laurent Milot, and Dr. Gilles Piana.
Learn more about Epione through your peers: Dr. Raj Narayanan, Dr. Zachary Berman, Dr. Praveen Peddu, Dr. Bulent Arslan, Pr. Thierry de Baere, Pr. Laurent Milot to around robotics in image-guided ablation.
First clinical experiences with the Epione® Robot prove to be a game changer in interventional oncology.
Guest Speakers from Miami Cancer Institute, Baptist Health South Florida: Govindarajan Narayanan, MD; Constantino Peña, MD; Ripal Gandhi, MD; Gina Landinez, MD; Daniela Garcia, MD.
Dr. Sean Tutton and Dr. Raj Narayanan agree that robotics has the potential to democratize minimally invasive procedures, offering new opportunities for skill development and advancement within the field of interventional radiology.
(French language) A live demo of Epione, presented by Pr. Milot (Hospices Civils de Lyon) where he runs through workflow, features, and benefits.
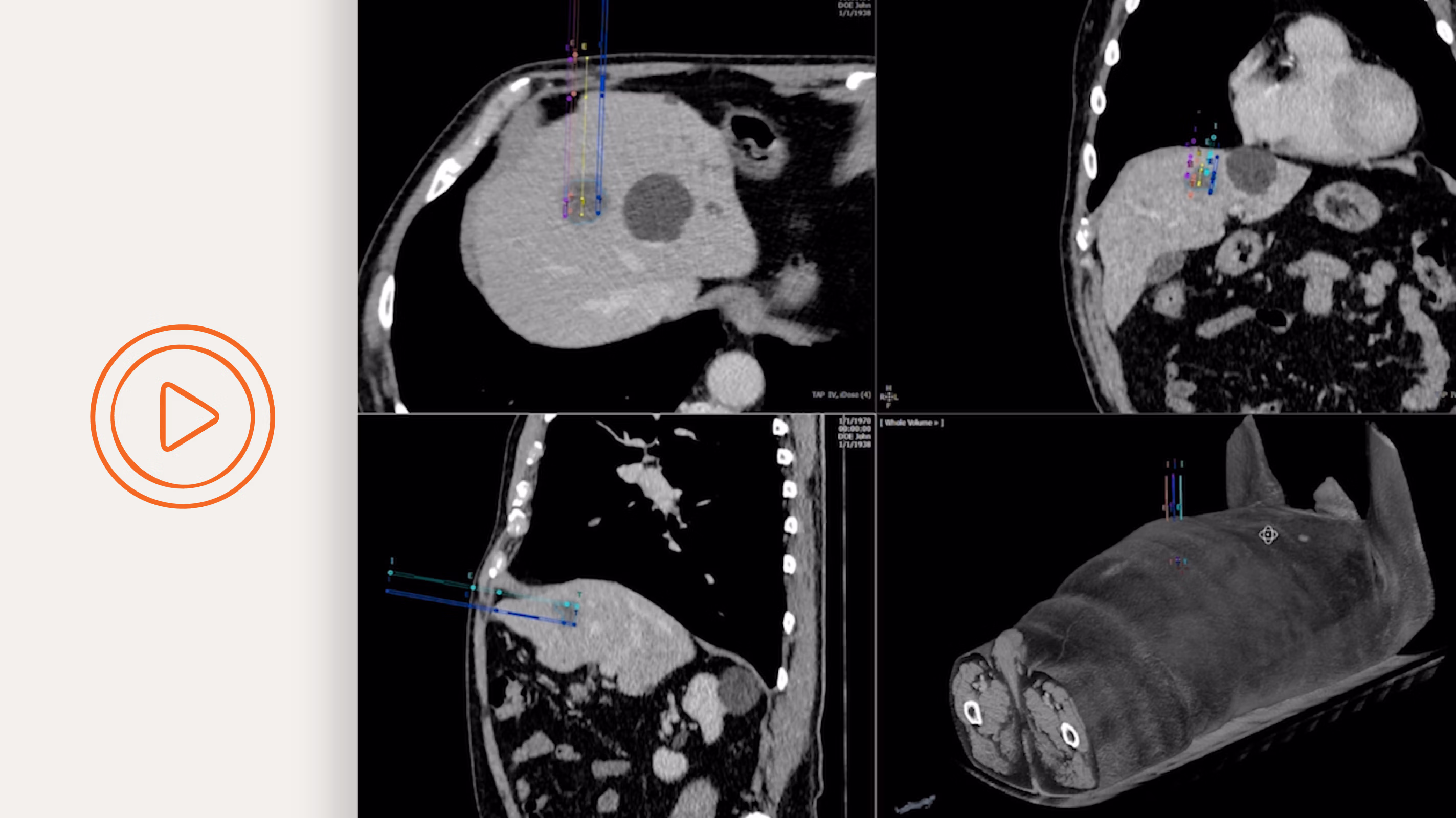
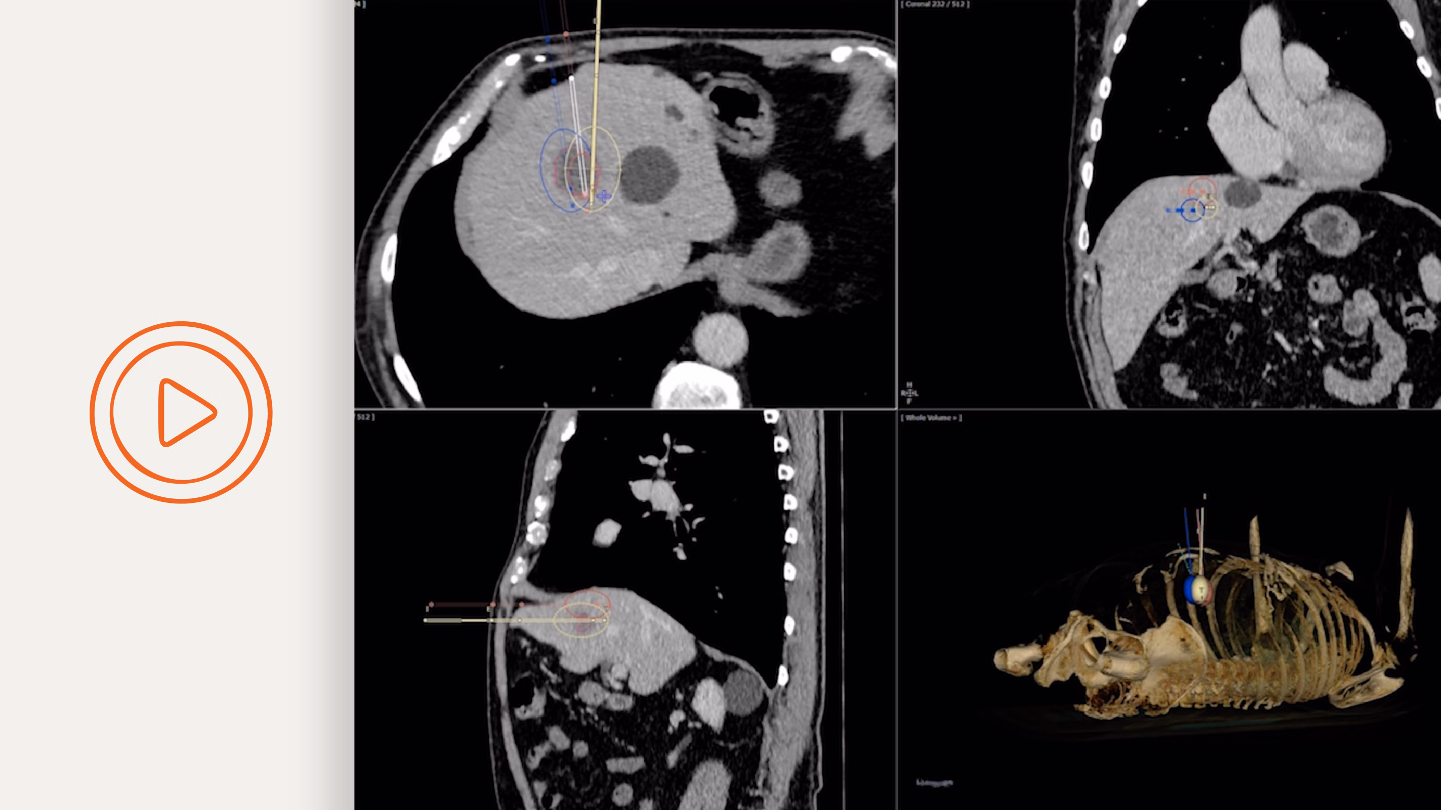
Case Study by Dr. Dassa, Interventional Radiologist at Institut Paoli-Calmettes in Marseille, France.
Case study by Dr. Bonnet, Interventional Radiologist at Gustave Roussy in Villejuif, France.
Case Study by Dr. Bonnet, Interventional Radiologist at Gustave Roussy in Villejuif, France.
Case Study by Dr. Deschamps, Interventional Radiologist at Gustave Roussy, Villejuif, France.
Case study by Dr. Bonnet, Interventional Radiologist at Gustave Roussy in Villejuif, France

Robotics in Image-Guided Ablation
Learn more about Epione through your peers: Dr. Raj Narayanan, Dr. Zachary Berman, Dr. Praveen Peddu, Dr. Bulent Arslan, Pr. Thierry de Baere, Pr. Laurent Milot to around robotics in image-guided ablation.

Robotics Revolution in Interventional Radiology
Dr. Sean Tutton and Dr. Raj Narayanan agree that robotics has the potential to democratize minimally invasive procedures, offering new opportunities for skill development and advancement within the field of interventional radiology.

Robotic-Assisted Ablation for Abdominal Tumors: Expert Perspectives and Case Reviews
Guest Speakers from Miami Cancer Institute, Baptist Health South Florida: Govindarajan Narayanan, MD; Constantino Peña, MD; Ripal Gandhi, MD; Gina Landinez, MD; Daniela Garcia, MD.

Epione: How Robotics is Creating the Next Generation of IO Programs
Presented at ECIO 2024 by Pr. Thierry De Baère, Pr. Laurent Milot, and Dr. Gilles Piana.

Epione Goes Global: IO Robotics Experience at World-Renowned Cancer Institutions
Presented by Pr. Thierry De Baère and Dr. Govindarajan Narayanan.

First clinical experiences with the Epione Robot prove to be a game changer in interventional oncology
First clinical experiences with the Epione® Robot prove to be a game changer in interventional oncology.

Impact of Robotics on Interventional Radiology
Presented by Pr. Thierry De Baère and Pr. Laurent Milot.

A Unique Duo Between Physicians and Quantum Surgical’s Engineers
Interview with Pr. Laurent Milot.


Microwave Liver Ablation with Epione
Performed by Dr. Govindarajan Narayanan.


















